Ortodoncista en Panamá
“Siempre comprometido
con la Salud Dental de mis pacientes”
Dr. Javier Trejos
Ortodoncista en Panamá
Dr. Javier Trejos
Especialista en el tratamiento de diferentes patologías como Bruxismo, Apnea del Sueño y Disfunción Temporomandibular, con amplia experiencia en el tratamiento ortodóncico para la corrección de sobremordida, mordida cruzada, apiñamiento, diastemas y mordida abierta.
Soy Cirujano Dental egresado de la Universidad de Panamá con Postgrado en Ortodoncia, reconocido por mejorar considerablemente la salud bucal, la sonrisa y calidad de vida de mis pacientes con aparatos de ortodoncia altamente estéticas como: la ortodoncia invisible (los alineadores invisibles de Invisalign y Allinea, la cirugía dental y los brackets metálicos.
¿Qué aparato se
adapta a mis necesidades?
Agenda tu cita y aclara todas tus inquietudes respecto a cualquier tratamiento de ortodoncia.
¿Necesitas Ortodoncia?
La ortodoncia es una subespecialidad de la odontología que se ocupa del estudio, diagnóstico y tratamiento de las anomalías que afectan las estructuras dentales y/o maxilofaciales. Los especialistas en odontología y ortodoncia se encargan de determinar si necesitas algún tipo de tratamiento ortodóncico o una cirugía dental por presentar alteraciones en tu boca.
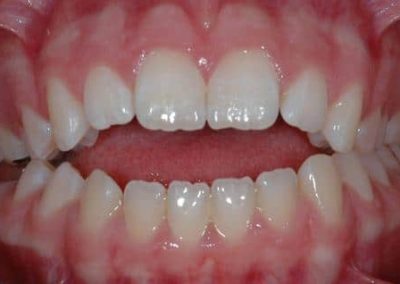
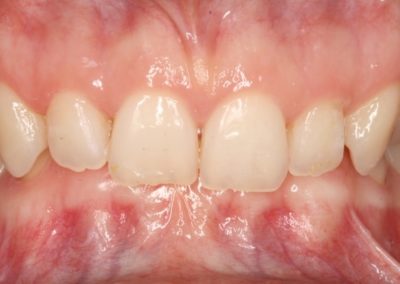
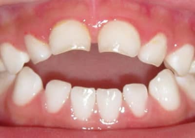
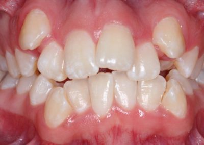
La maloclusión dental, el apiñamiento y el espaciamiento interdental (algunas de las anomalías más comunes) son casos que pueden requerir un tratamiento de ortodoncia con aparatos fijos y removibles que van generando una suave presión para lograr el movimiento o la posición deseada.
Además de todo esto, la pérdida precoz de piezas dentales por caries o enfermedades periodontales, puede afectar tu vida en un sentido tanto funcional como estético. Esto es algo que podemos solucionar con los aparatos de ortodoncia adecuados.
Cuando se produce un vacío, tus dientes tienden a moverse y ocupar un espacio que no les corresponde, desplazando todo cuanto se cruce en su camino y provocando problemas en la posición y/o forma de tus piezas ¡Es aquí donde comienza la magia de la ortodoncia!
Tratamientos personalizados
Te ofrezco mi experiencia al servicio de la ortodoncia en Panamá, presentando múltiples alternativas que permiten atender tanto la prevención y corrección en etapa infantil, como las anomalías presentes entre jóvenes y adultos. Desde métodos de ortodoncia tradicional hasta sistemas novedosos, modernos y con altos estándares estéticos.
Con mis servicios pretendo brindar alternativas correctivas y estéticas de comprobada efectividad a mis pacientes, atendiendo cada etapa según las necesidades de salud oral que en ellas se presentan:

Ortodoncia Interceptiva
Dirigida completamente a atender el cuidado de ortodoncia en niños.

Ortodoncia Correctiva
Atención de todo tipo de problemas de oclusión dental en jóvenes y adultos.

Otros procedimientos
Disfunción temporomandibular, apnea del sueño, bruxismo.
Ortodoncia Interceptiva
Dirigida completamente a atender los requerimientos de ortodoncia en niños. En una etapa en la cual se combinan los dientes temporales (de leche) con los permanentes y se va dando el recambio; es sumamente importante determinar lo que será el resultado de este proceso que varía naturalmente de persona a persona para corregir de manera oportuna cualquier anomalía en la mordida o alineamiento dental.
Los aparatos de ortodoncia y todo el tratamiento ortodóncico que se pueda recomendar durante esta etapa, son completamente distintos a los que se pueden indicar en períodos posteriores, ya que durante la fase de desarrollo del hueso maxilar aún es posible realizar movimientos que luego sólo pueden intentarse con la aplicación de cirugía ortognática.
Ortodoncia Correctiva
Atención de todo tipo de problemas de oclusión dental en jóvenes y adultos; para los cuales hoy en día existen alternativas que van desde la ortodoncia tradicional hasta las técnicas más estéticas e innovadoras, brindando al paciente una total satisfacción y una completa salud oral según sus necesidades.
En la etapa en la que la persona ha alcanzado el máximo crecimiento óseo, los tratamientos de ortodoncia son enfocados en lo que es posible lograr con la aparatología conservadora. La cirugía ortognática se convierte en un recurso complementario para apoyar casos severos, en los cuales deba realizarse alguna modificación a nivel del hueso maxilar hasta lograr la posición deseada.
Otros procedimientos
El Ortodoncista en Panamá también se ocupa de otras áreas que no necesariamente se relacionan con dientes torcidos. Entre las principales patologías que se pueden referir se encuentran:
- Disfunción temporomandibular. Un trastorno que afecta la articulación de la mandíbula y puede provocar dolores intensos.
- Apnea del Sueño. Alteración que interrumpe la respiración e interfiere con la continuidad del sueño profundo y el descanso.
- Bruxismo. Patología que se manifiesta por el movimiento involuntario de la mandíbula y roce entre los dientes, provocando el desgaste de las piezas.
Atención y Ubicación
OBARRIO, Plaza Montblanc, Calle 60.
(+507) 263-0200
Costa del Este, Clínica FORD, Plaza Costa del Este.
(+507) 223-4742
Etapas de un tratamiento de ortodoncia
Las etapas de un tratamiento de ortodoncia pueden variar dependiendo del caso y del enfoque del ortodoncista. Sin embargo, en general, se pueden identificar varias etapas comunes en un tratamiento de ortodoncia:
Fase de estudio
En la etapa inicial, se realiza un estudio completo del paciente para evaluar su condición dental y determinar el tratamiento más adecuado.
Fase de alineación
En la segunda etapa, se utilizan diferentes técnicas y aparatos para alinear los dientes y corregir su posición.
Fase de corrección de la mordida
En este punto, se trabaja en corregir la mordida y la oclusión dental, asegurando que los dientes superiores e inferiores encajen correctamente.
Fase de cierre de espacios
Si hay espacios entre los dientes, esta etapa se enfoca en cerrar esos espacios y lograr una distribución adecuada de los dientes en la boca.
Fase de retirada de aparatos
Una vez que se han logrado los objetivos del tratamiento, se retiran los aparatos utilizados, ya sean brackets o alineadores invisibles.
Fase de retención
Después del retiro de los aparatos, se utiliza un dispositivo de retención para mantener los resultados obtenidos y evitar que los dientes vuelvan a su posición original. Esto puede ser mediante un retenedor fijo o uno removible, por un período de tiempo establecido.
¿Cuál es el precio de
Invisalign en Panamá?
Conoce sobre nuestros planes de financiamiento que se adaptan a tus necesidades.
Beneficios de la ortodoncia
La ortodoncia ofrece una serie de beneficios tanto estéticos como funcionales, entre ellos podemos mencionar:
Mejora la posición, función y estética de las piezas dentales
La ortodoncia ayuda a corregir la alineación de los dientes, lo que mejora la apariencia de la sonrisa y la función de la masticación.
Corrección de problemas de mordida y alineación
La ortodoncia permite corregir efectivamente las maloclusiones y malposiciones dentales, mejorando la salud bucodental y la funcionalidad de la boca.
Disminución del desgaste dental
Al corregir la mordida y la alineación de los dientes, la ortodoncia ayuda a reducir el desgaste dental excesivo.
Mejora la digestión
Una correcta alineación de los dientes y una masticación adecuada facilitan la digestión de los alimentos.
Mayor higiene dental
Los dientes alineados correctamente son más fáciles de limpiar, esto hace que se reduzca el riesgo de caries y enfermedades periodontales.
Reducción del bruxismo
El bruxismo (rechinar de los dientes), suele ser causado por una mala alineación dental. La ortodoncia puede ayudar a corregir esta condición y reducir el bruxismo.
Mejora de la pronunciación
Al corregir problemas de alineación dental, el paciente experimenta una mejora en la pronunciación de ciertos sonidos.
Incremento de la autoestima
Una sonrisa bien alineada y estéticamente agradable aumenta considerablemente la confianza y la autoestima de las personas.
Mejora de la salud bucodental en general
La ortodoncia no solo mejora la apariencia de la sonrisa, sino que también contribuye a una mejor salud bucodental en general, reduciendo el riesgo de problemas dentales y enfermedades periodontales.
Preguntas frecuentes
¿Los tratamientos de ortodoncia duelen?
Es posible experimentar ciertas molestias durante un tratamiento de ortodoncia, especialmente durante el período de adaptación inicial. Sentir cierta incomodidad o sensación de presión es normal después de la colocación de los brackets o alineadores invisibles, esto se debe a que los dientes se están ajustando a una nueva posición. Sin embargo, el dolor generalmente es de bajo a moderado y tiende a disminuir en unos pocos días.
¿Cómo son las visitas de seguimiento?
Durante las visitas de seguimiento, el ortodoncista evaluará el progreso del tratamiento, revisando la alineación de los dientes y la oclusión. Esto se hace mediante la observación visual, el uso de herramientas y, en algunos casos, radiografías o imágenes digitales.
Si es necesario, se pueden realizar ajustes en los aparatos ortodónticos para ayudar a guiar los dientes hacia la posición deseada. El ortodoncista también puede brindarle instrucciones sobre el cuidado adecuado de los aparatos y la higiene bucal.
La frecuencia de las visitas de seguimiento puede variar según el caso y las recomendaciones del ortodoncista, pero por lo general suelen programarse cada 4 a 8 semanas.
¿Qué diferencia hay entre un odontólogo y un ortodoncista?
La diferencia entre un odontólogo y un ortodoncista radica en su especialización y enfoque de tratamiento. El odontólogo, es un profesional de la salud dental que se ha graduado en odontología; su formación se centra en el diagnóstico, prevención y tratamiento de una amplia gama de problemas dentales y bucodentales.
Por su parte, el ortodoncista es un odontólogo que ha completado una especialización adicional en ortodoncia. Después de obtener su título en odontología, el ortodoncista se somete a una formación adicional en el campo de la ortodoncia. Su enfoque principal es el diagnóstico, prevención y tratamiento de problemas relacionados con la alineación de los dientes y la mandíbula.


