Agenda tu cita online y obtén un tratamiento personalizado por el Dr. Javier Trejos, tu mejor opción de Ortodoncia en Panamá

Dr. Javier Trejos - Ortodoncista En Panamá

Calle 60 Este Plaza Mont Blanc, Local #4
Panamá
(+507) 263-0200

COSTA DEL ESTE, Clinica Ford, Plaza Costa del Este. (+507) 223-4742

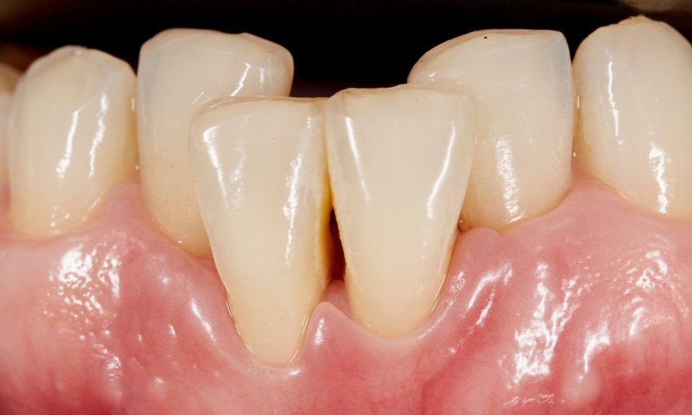
Soluciones Avanzadas para Dientes Apiñados en Panamá

¿Qué Son los Dientes Apiñados?

Los dientes apiñados son aquellos que no tienen suficiente espacio en la mandíbula para acomodarse correctamente, lo que resulta en una alineación desordenada y apretada.

Causas Comunes del Apiñamiento Dental

El apiñamiento dental puede ser causado por:

N

Factores genéticos.

N

La pérdida prematura de dientes de leche.

N

La falta de espacio en la mandíbula.

N

El tamaño inadecuado de los dientes.

N

La posición incorrecta de la lengua.

Problemas Asociados con los Dientes Apiñados

El apiñamiento dental puede traer como consecuencia lo siguiente:

N

Dificultad para limpiar los dientes.

N

Acumulación de placa y sarro.

N

Mayor riesgo de caries y enfermedad de las encías.

N

Problemas de mordida.

N

Dolor de mandíbula.

N

Problemas estéticos.

Causas Comunes del Apiñamiento Dental

Diagnóstico y Evaluación de Dientes Apiñados

El diagnóstico de dientes apiñados implica varios procedimientos especializados. En primer lugar, se realiza un examen físico minucioso para evaluar la alineación y la oclusión de los dientes. Posteriormente, se realizan radiografías dentales para obtener imágenes detalladas de la estructura dental y la mandíbula.

Adicionalmente, se elaboran modelos de estudio a partir de impresiones de los dientes, lo que permite al odontólogo analizar la disposición de los dientes y planificar el tratamiento. Basándose en los resultados de estos exámenes, el odontólogo podrá evaluar la gravedad del apiñamiento y determinar el enfoque de tratamiento más adecuado para cada paciente.

Tratamientos Disponibles para Dientes Apiñados

N

Ortodoncia Convencional y Brackets

La ortodoncia convencional utiliza brackets metálicos o cerámicos para mover los dientes gradualmente a lo largo del tiempo, corrigiendo su posición de manera definitiva.

N

Ortodoncia Invisible y Alineadores

Los alineadores transparentes son una opción discreta para corregir ciertos casos de apiñamiento dental. Para ello, se emplean una serie de alineadores personalizados para mover los dientes de manera gradual.

N

Opciones de Tratamiento No Invasivas

Dependiendo de las necesidades específicas del paciente, las opciones no invasivas pueden incluir limado interdental, expansión del arco dental y otros enfoques que no requieren extracciones o cirugía.

Programa tu Cita en Panamá

Conoce sobre nuestros planes de financiamiento que se adaptan a tus necesidades.

Beneficios de Corregir los Dientes Apiñados

Consejos para la Prevención

N

Evitar malos hábitos: Evitar el hábito de chuparse el dedo, usar chupete por mucho tiempo o morderse las uñas puede ayudar a prevenir el apiñamiento dental en niños.

N

Mantener una buena higiene oral: Cepillar los dientes después de cada comida y usar hilo dental regularmente es útil en la prevención del apiñamiento dental y otros problemas bucodentales.

N

Visitas regulares al odontólogo: Realizar visitas periódicas al odontólogo para chequeos dentales y limpiezas profesionales puede contribuir a detectar y prevenir el apiñamiento dental.

Consulta con Nuestros Expertos en Dientes Apiñados

¡No dejes que el apiñamiento dental afecte tu salud bucal y tu sonrisa!

Descubre cómo corregir esta condición de forma segura y efectiva con el Dr. Trejos.

Problemas Asociados con los Dientes Apiñados

Programa tu Cita en Panamá

Conoce sobre nuestros planes de financiamiento que se adaptan a tus necesidades.

Solicita una Cita

Agenda tu cita online y conoce acerca de nuestros tratamientos

Agendar Cita
Serás redirigido a Whatsapp
Si no redirige le contactaremos lo antes posible