La recesión de encía es un problema dental que no debe ser ignorado. Aunque puede parecer simplemente un tema estético, abordar la recesión de encía es de vital importancia para mantener una buena salud bucal. La exposición de las raíces dentales y el retroceso de las encías pueden llevar a una serie de complicaciones, incluyendo: sensibilidad dental, sangrado durante el cepillado, mal aliento e incluso la pérdida de dientes.
Contents
¿Qué es la recesión de encía?
La recesión de encía se refiere al retroceso o retraimiento de las encías, lo que resulta en la exposición de las raíces dentales. Esto suele ocurrir por un cepillado dental agresivo, enfermedad periodontal, maloclusión y dientes desalineados, o prótesis mal ajustadas.
Causas de la recesión de encía
Las diferentes causas de la recesión de encía se pueden clasificar en factores locales y factores sistémicos.
Factores locales
Cepillado dental agresivo
Un cepillado dental demasiado fuerte o con cerdas duras puede dañar las encías y provocar su retraimiento.
Enfermedad periodontal (gingivitis y periodontitis)
La acumulación de placa bacteriana provoca la inflamación de las encías y, si no se trata, puede llevar a la recesión de encía.
Maloclusión y dientes desalineados
La mala alineación de los dientes podría ejercer presión adicional sobre las encías, llevando a su retraimiento.
Prótesis mal ajustadas
Las prótesis dentales que no están bien ajustadas pueden causar irritación y daño en las encías, desencadenando con el tiempo la recesión gingival.
Factores sistémicos
Predisposición genética
Algunas personas nacen con una mayor predisposición genética a la recesión de encía.
Tabaquismo
Fumar afecta negativamente la salud de las encías y aumenta el riesgo de recesión.
Enfermedades sistémicas como diabetes
Algunas enfermedades sistémicas incrementan el riesgo de desarrollar problemas en las encías, incluida la recesión gingival.
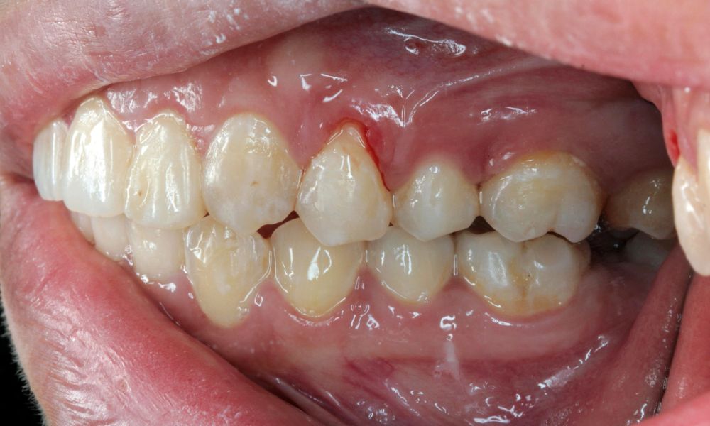
Síntomas de la recesión de encía
Signos visibles
Encías retraídas
Las encías se ven más bajas o retraídas, exponiendo las raíces dentales.
Raíces dentales expuestas
Las raíces de los dientes se vuelven visibles debido al retraimiento de las encías.
Otros síntomas
Sensibilidad dental
Las raíces dentales expuestas hacen que los dientes sean más sensibles al calor, al frío o a los alimentos y bebidas dulces o ácidos.
Sangrado durante el cepillado
Debido a su estado de vulnerabilidad, las encías pueden sangrar fácilmente durante el cepillado o el uso de hilo dental.
Mal aliento
La recesión de encía puede contribuir al mal aliento debido a la acumulación de bacterias en las raíces dentales expuestas.
¡Agenda una cita urgente con el Dr. Trejos hoy mismo!
¡No arriesgues tu salud bucal!
Diagnóstico de la recesión de encía
Examen clínico
El diagnóstico de la recesión de encía generalmente se realiza a través de un examen clínico realizado por un dentista o periodoncista.
Inspección visual de las encías
El profesional de la salud bucal examinará visualmente las encías para detectar signos de recesión y evaluará la gravedad del problema.
Uso de sondas para medir la profundidad de las bolsas periodontales
Se utilizan sondas especiales para medir la profundidad de las bolsas periodontales, que son espacios entre las encías y los dientes. Una mayor profundidad de las bolsas indicaría recesión de encía.
Pruebas adicionales
Radiografías para evaluar la pérdida ósea
En algunos casos, se pueden tomar radiografías para evaluar la pérdida ósea alrededor de los dientes.
Consulta con un periodoncista
En casos de mayor severidad, es necesario tener una consulta con un periodoncista, que es un especialista en el tratamiento de las enfermedades de las encías.
Tratamiento de la recesión de encía
El tratamiento de la recesión de encía varía según la gravedad del problema y las causas subyacentes.
Opciones no quirúrgicas
Limpieza profunda (raspado y alisado radicular)
Este procedimiento consiste en eliminar la placa y el sarro de las raíces dentales y alisar la superficie de las raíces para ayudar a que las encías se adhieran nuevamente.
Uso de antibióticos
En ciertas situaciones, se pueden recetar antibióticos para controlar la infección y promover la curación.
Cambios en los hábitos de higiene oral
Es importante adoptar una buena rutina de higiene oral, que incluya un cepillado suave, el uso de hilo dental y enjuague bucal adecuados.
Opciones quirúrgicas
En casos más avanzados, puede recomendarse una cirugía de colgajo para levantar las encías y acceder a las raíces dentales expuestas. Luego, se suturan las encías en su nueva posición.
Injerto de tejido blando
Algunos pacientes requieren injertos de tejido blando para cubrir las raíces dentales expuestas y mejorar su apariencia estética.
Injerto óseo
En casos de pérdida ósea significativa, podría ser necesario realizar un injerto óseo para regenerar el hueso perdido.










